Alabama rot 'devastating and comes out of nowhere'

Willow, a whippet, died from Alabama rot when she was four-and-a-half years old
- Published
"I wouldn't want anyone to go through what we went through. I wouldn't wish it on my worst enemy."
Pet owners who have lost their dogs to Alabama rot are warning others about the disease, as 90% of cases are reported between November and May.
Hannah Povey said before her cocker spaniel Betsy died from Alabama rot she had not spoken to anyone "who had heard of it".
The disease, which is also known as cutaneous and renal glomerular vasculopathy (CRGV), is rare but often fatal in dogs, causing blood vessel damage that leads to skin sores and potential kidney failure.

Hannah Povey's dog Betsy died after catching Alabama rot
Ms Povey, from Farringdon in Hampshire, said her two-year-old dog Betsy was usually highly energetic, but started limping, went off her food and had a sore on her paw a few days before her death.
Betsy was taken to Anderson Moores Veterinary Specialists in Winchester, but three days later she had to be put down.
"I think the whole way through we just had the hope and that feeling that she would be coming home," she said.
"It was a little blip - she might be very poorly, and it make take some recovery, but she was always coming home. And then it was that realisation that she wasn't."

Cocker spaniel Betsy started limping a few days before her death
The exact cause of Alabama rot is unknown, but most cases are reported in winter and spring, often in dogs walked in muddy, wooded areas.
Vets believe the disease could be caused by a bacteria or a toxin and, once a dog gets it, the chance of survival is only 10%.
Shaun Reynolds also lost his dog Willow, a four-and-a-half-year-old whippet, to the disease after walking in the countryside near Newbury.
"She had a very easy weekend of exercise. Woke up on the Monday morning with a limp, wouldn't bear any weight on it which to me just rung alarm bells," he said.
"Then the skin sore appeared, a few days after that she became sick, lethargic."

Shaun says losing his dog Willow to Alabama rot was "devastating"
The last time Mr Reynolds saw Willow she was at the vets.
"She came in the room, and I've never seen a living thing look so ill. To think she went from being as fit as a flee to that in three weeks was just bonkers."
He added: "If Willow's legacy can be that there is one dog that doesn't go what she went through then brilliant."
Willow, a four-and-a-half-year-old whippet, died from the disease after walking in the countryside near Newbury
David Bennett, from the New Forest Dog Owners Group, said his previous dog, Topaz, survived after being treated by a vet.
He said: "When we drove away and left him, we didn't know if we would ever see Topaz again and that's so hard for a family, so devastating and it just comes out of nowhere.
"It sort of came in steps, it was layer after layer of bad news, and we felt awful because all we'd done is walk him. It was truly awful."
He added: "It's hugely unlikely that a dog will catch Alabama rot but the fear for owners is disproportionate because the effects are so devastating."

David and his dog, Duke, are trying to educate other owners about Alabama rot
Anderson Moores Veterinary Specialist have dealt with numerous cases across the south, including in Oxford, Dorset, Berkshire and Hampshire.
Joshua Walker, lead clinician in internal medicine, said: "The research at the moment is promising that we'll be able to identify a cause in the future.
"There is some work coming out of various universities that will help with that."
Joshua Walker is lead clinician in internal medicine at Anderson Moores Veterinary Specialists
Mr Walker said if a cause was identified, vets could use that information to develop a test and a treatment.
"Unfortunately, a lot of the time with humans with similar conditions, the treatments are incredibly challenging, incredibly expensive and may not be available for dogs," he said.
"But the more we understand, the more we can work out 'ok this small change might improve the outcome'."

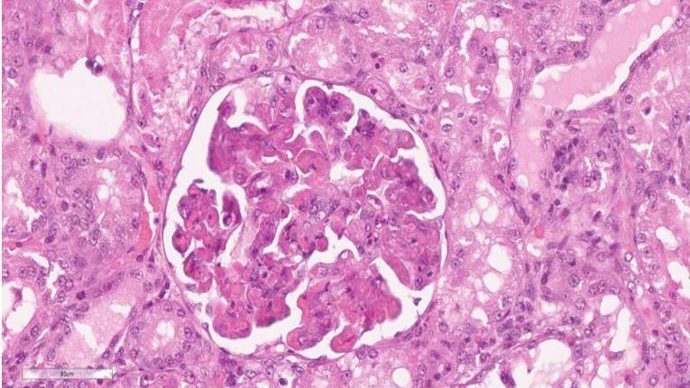
Cutaneous and renal glomerular vasculopathy (CRGV) under the microscope
The following are typical signs of Alabama rot:, external
Skin sores, visible swelling, red patches or skin defects not caused by a known injury. These skin lesions typically appear below the knee or elbow, and occasionally on the face or at the bottom of the chest or abdomen.
Changes in appetite - reduced appetite, drinking more, vomiting and lethargy are signs of acute kidney injury.
However, the majority of visible skin lesions will not be caused by Alabama rot disease, and most cases of kidney failure will be a result of another cause.
Source: Anderson Moores Veterinary Specialists
You can follow BBC Hampshire & Isle of Wight on Facebook, external, X (Twitter), external, or Instagram, external.
Related topics
- Published30 June

- Published9 February 2024
