Residents demand more CCTV in 'problem' park
Residents have called for more CCTV in St Nicholas Park, in Warwick
- Published
Regular users of a town park want more CCTV cameras to be installed to tackle anti-social behaviour.
Residents of Warwick have called a public meeting with council officers to try to resolve the issues in and around St Nicholas Park, which, they say, have been blighting the site.
One resident told the BBC her son felt too scared to go out after he had his jaw broken in an unprovoked attack.
Warwickshire Police said it was aware of concerns and had a problem-solving plan in place.

Resident Dale Fittes has called for more CCTV in St Nicholas Park
Resident Dale Fittes, whose home is near the park, says he has had to endure problems there for 25 years.
"People [are] coming in with cars and motorbikes, racing around in what is basically a public space where there are people walking and enjoying themselves," he said.
"We've seen fires being set in the copse at the back of where we live and we've had damage to property in the area, back gates being kicked in and so on."
Those living near the site said they had reported their concerns to local councillors and police but did not think enough was being done in response.
"One of the things we've asked for is CCTV cameras to be installed," Mr Fittes said.
"The other thing we'd like to see is patrols by either council wardens or police. These are happening on a fairly infrequent basis so we'd like to see those stepped up."

A public meeting is being held to call for more CCTV cameras to be installed in St Nicholas Park in Warwick.
The Friends of St Nicholas Park group has asked officers from Warwickshire County Council to attend a public meeting to see what can be done to keep park users safe.
The council said it was always open to meeting residents to discuss any concerns, adding the authority had been liaising with partners including the police and Warwick District Council which, it said, had done a lot of work over the past few years to address concerns.
CCTV is among the topics set to be addressed.
Calls for more cameras are being backed by a resident whose son had his jaw broken while he was walking through the park in daylight in April.
"He was approached by a gang of youths who followed him, calling him a different name. He turned around and said 'I'm not whoever it is' and tried to walk off," she said.
"They threatened to stab him and then, as he tried to leave, he was assaulted from behind and punched in the face. They broke his jaw and he's had to have a plate inserted.
"It's shattered his confidence. He's just started college, and he struggled to go back to college, he's struggling to go out, struggling to socialise, and doesn't feel safe."

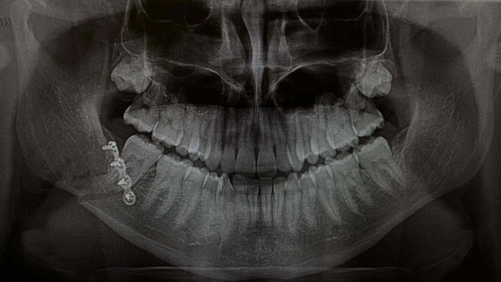
A teenage boy had a metal plate fitted in his jaw following an attack in the park
Ch Insp Simon Ryan said: "As part of the plan, over the summer we worked with partners and jointly funded a new CCTV camera within the park, which has improved coverage.
"We have also increased patrols both by uniformed and plain-clothed officers, resulting in some proactive arrests."
He said a thorough investigation was carried out into the incident involving the teenage boy but it was filed due to evidential difficulties, but the force would be willing to review, he added, if new evidence came to light.
Warwickshire County Council said it was already meeting with members of the community to hear their concerns.
"We were approached several weeks ago by a member of the public who had concerns about anti-social behaviour in St Nichoas Park," a statement said.
"As part of our response, we offered to meet with the person to discuss any issues they had and see if there was anything we could do to help address them.
"We are always open to meet with concerned residents at a time and venue of their choosing, if possible."
It said the police and Warwick District Councils had done a lot of work over the past few years to address concerns "including dealing with people from out of the area who came to the park specifically to cause trouble."
Warwick District Council said it took any incidents of anti-social behaviour in the district's parks and public spaces "extremely seriously".
Commenting on the CCTV cameras in the park, it said two had been installed 15 years ago - one in the main car park and another by the sea scout hut.
Upgrades have been carried out earlier this year, and the CCTV system is being used "proactively and reactively to help monitor and detect crime" said the council.
Get in touch
Tell us which stories we should cover in Warwickshire
Follow BBC Coventry & Warwickshire on BBC Sounds, Facebook, external, X, external and Instagram, external.
Related topics
- Published15 July 2024

- Published1 July

- Published28 March
