Mum's plea as city has England's highest TB rate

Jess Talbot-Jones caught tuberculosis (TB) from her husband
- Published
A mother who spent a year being treated for tuberculosis (TB) is calling on people to get tested following a rise in cases across England.
Jess Talbot-Jones lives in Birstall, just outside Leicester - the city with the UK's highest TB rate for the past two years.
The 38-year-old went through a lengthy course of medication alongside her husband and two-year-old son after contracting the disease and now wants people to understand the illness, its treatment and the stigma that surrounds it.
New statistics released by the UK Health Security Agency (UKHSA) showed there were 5,490 active cases of the disease in England in 2024, compared to 4,831 in 2023, a rise of 13.6%.
Ms Talbot-Jones said her treatment for the disease, which can feature a mucus cough that lasts longer than three weeks, night sweats and weight loss, was "traumatic".
"I didn't really think that TB was a thing. I thought it was... more of a Victorian disease," she said.
"It was a bit of a shock really when I found out.
"But when reality hits and the stigma that you're the person that everybody around you has to get tested for because it is a bad disease - it is a bit of a scary thing."

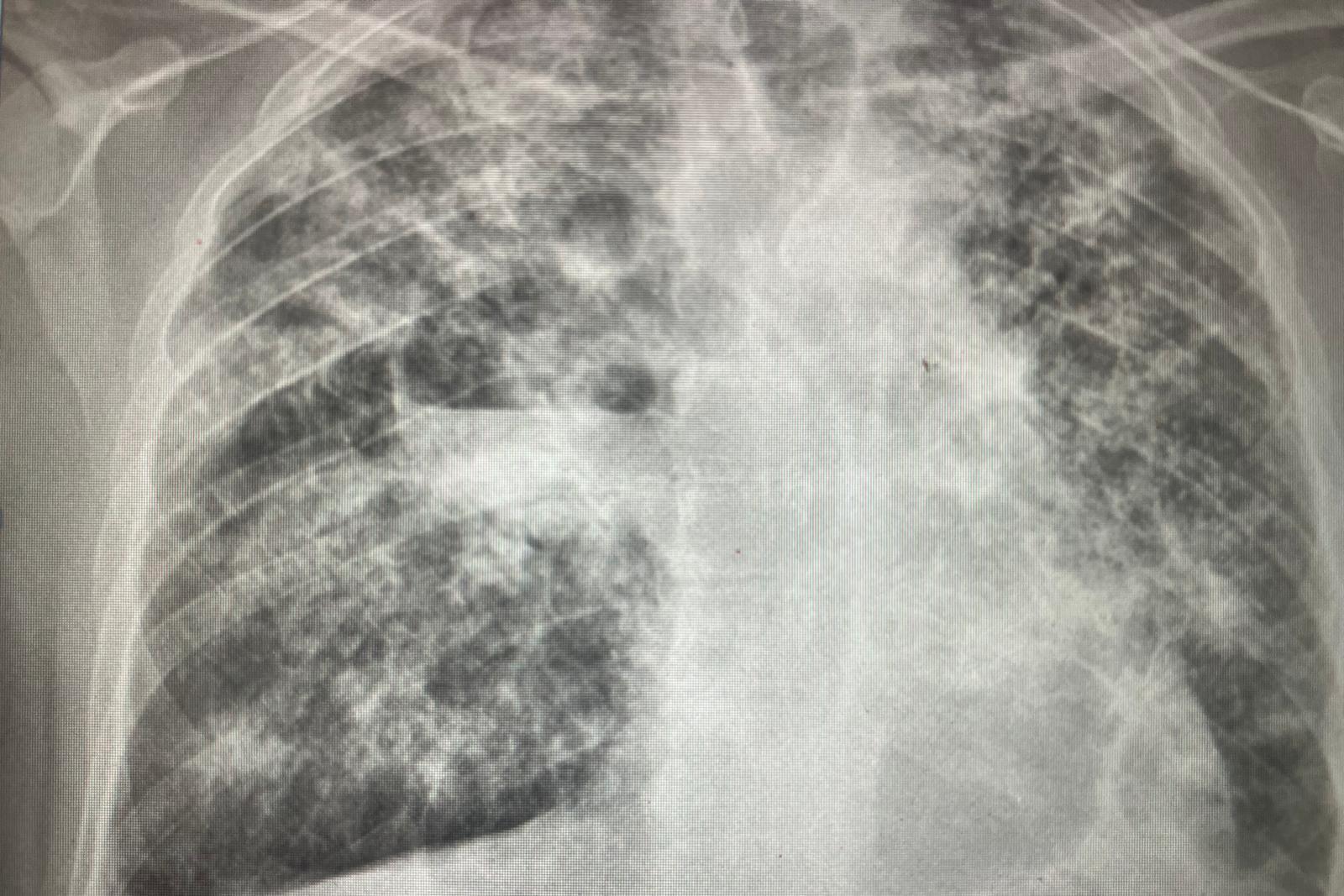
Tuberculosis can cause irreversible damage to the lungs - the white marks on this X-ray show the effects of the disease
Ms Talbot-Jones said she suffered from the active form of the disease alongside her husband and son.
Her four other children had the latent form, which does not create symptoms and is not transmissible, according to the NHS.
However, it can turn into active TB in the future.
"It was really traumatic," she said. "There's a lot of stigma around TB.
"It's seen as a disease that you can only catch if your immune system is low or if you're living in dirty conditions.
"That's not the case, you can catch it like a cough or a cold.
"If you have symptoms or fit the criteria, you should be tested."
TB is preventable and curable, with 84.4% of patients completing treatment within 12 months, the UKHSA said.
However, if left untreated, the illness can cause irreversible damage to the lungs.
The body also said 82% of TB cases in 2024 were found in people born outside the UK, who often migrated to the country with the latent disease, which then became active.
In Leicester, there is a free test available for anyone, with or without symptoms, who has entered the UK within the past five years, has lived for at least six months in a country with high TB rates such as India or sub-Saharan Africa, and is aged between 16 and 35.
Analysis
By Rob Sissons, East Midlands health correspondent
There can be a misconception of TB as a disease that is a relic of a bygone age, a Victorian or ancient disease.
But in 2025 the bacterial infection still poses a significant threat to human health, with the World Health Organization reporting nearly 4,500 people lose their lives and 30,000 people fall ill with TB each day.
The bulk of cases of active TB detected in the UK are from people who were born in countries with a high incidence of the disease, such as India.
Undoubtedly, some of the increase in Leicester cases detected is due to more testing, which has increased since the Covid pandemic.
And since Brexit there has been a surge in people coming to work and study in Leicester from India, which has a high incidence of TB.
Public health experts in Leicester are trying to do more to detect active cases of the disease by raising awareness of the classic symptoms.
And the city is also home to extensive research into TB at a biomedical research centre at the Glenfield Hospital, run by the National Institute for Health and Care Research.

Dr Pranab Halder said about 200 to 250 cases of TB were seen in Leicester in 2024
Dr Pranab Halder, clinical senior lecturer in respiratory medicine at the University of Leicester, said the city was "bearing the brunt" of a national rise in TB.
"TB is not a Victorian disease, it is a disease of our time," he said.
"It is not the disease that the stigma suggests - it can be cured and people will lead normal healthy lives if they get treated."
In Leicester, the UKHSA has joined forces with NHS England and the Leicester, Leicestershire and Rutland integrated care board to tackle high rates of TB across the city.
The city has been confirmed to have the highest rate of cases in the UK for the second year in a row.
Cases in the local authority area increased from 42.1 cases per 100,000 people in 2024, compared with 40.7 the previous year, the UKHSA said.
Rob Howard, director of public health at Leicester City Council, said the testing initiative aimed to find people with latent TB, so it could be treated before it became transmissible.
"If you do test positive, free treatment is available to prevent you from becoming ill and developing active TB, which can cause severe illness and is infectious to others," he said.
Get in touch
Tell us which stories we should cover in Leicester
Follow BBC Leicester on Facebook, external, on X, external, or on Instagram, external. Send your story ideas to eastmidsnews@bbc.co.uk, external or via WhatsApp, external on 0808 100 2210.
Related topics
- Published7 December 2024

- Published6 November 2024

- Published22 October 2024
