Work starts on home of UK's 'most powerful' MRI

The new scanner will be far more powerful than almost every other machine on the planet
- Published
Building work has started on a facility in Nottingham that will be home to the UK's most powerful MRI (magnetic resonance imaging) scanner.
Magnetic resonance imaging, which generates 3D internal images of the body using strong magnetic fields and radio waves, was developed at the University of Nottingham by a team led by the late Sir Peter Mansfield in the 1970s.
The new machine - a 70-tonne 11.7 Tesla Ultra High Field scanner - will be based at the university and 1,000 times more powerful than the technology pioneered there by Sir Peter.
It is hoped it will be operational by mid-2027.
Sir Peter volunteered for the first human MRI tests in 1978.
The new machine will be able to see internal organs and processes in far greater detail, which scientists hope will help transform understanding of neurodegenerative diseases such as Alzheimer's, Parkinson's and Huntington's and neurodevelopmental disorders including autism and schizophrenia.
The scanner will be housed in a new magnet hall - an extension to the existing Sir Peter Mansfield Imaging Centre.
The new facility needs to be lined with iron to control the fields from the machine's magnets, which also have to be cooled to -271C.
Surrounding infrastructure will include a control and equipment room, clinical spaces, patient waiting areas and essential welfare facilities to provide a comprehensive clinical and research environment, the university said.

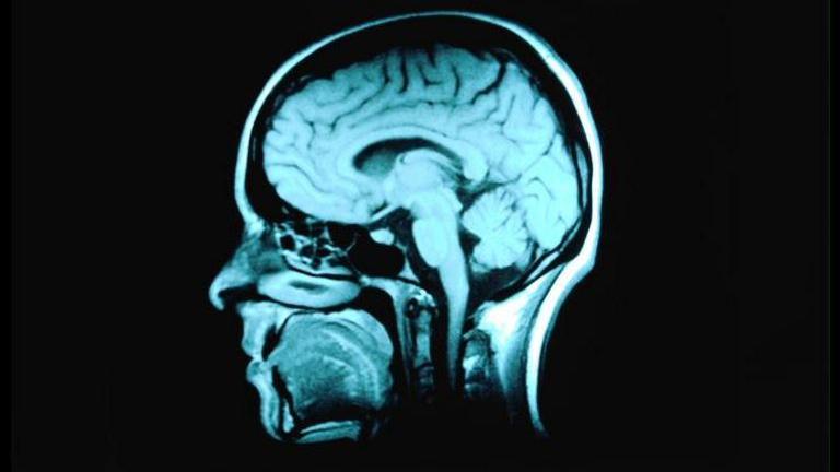
Greater power means more detailed images of internal structures
Prof Richard Bowtell, director of the Sir Peter Mansfield Imaging Centre, is leading the project and said: "It's a huge moment to see the building starting to take shape after months of meticulous planning for this complex project.
"We're extremely proud to be building on Sir Peter Mansfield's legacy that started here with the invention of MRI in the 1970s.
"The Ultra-High field scanner is the next generation in technology and will provide a step change in the capabilities of imaging research, unlocking new opportunities for collaboration and innovation to bring new understanding to a range of diseases."
The facility has been backed with £29.1m from the UK Research and Innovation Infrastructure Fund, external.

Sir Peter Mansfield, who died in 2017, pioneered MRI technology at the university
Analysis
By Rob Sissons, East Midlands health correspondent
They say knowledge is power and power is knowledge when it comes to magnetic resonance imaging.
The University of Nottingham's 7 Tesla (T) scanner started being used for research 20 years ago. It was the most powerful scanner in the world at the time.
Even today, most clinical MRI machines typically operate at magnetic field strengths of 1.5T and 3T. The higher the Tesla, the greater the magnetic field and the higher resolution images and detailed information that can be produced.
A centre in Paris started using a 11.7T machine last year, and it has already led to some of the most detailed images so far of the human brain.
All this is part of Sir Peter Mansfield's continuing legacy. He drove the development of MRI over decades and laid the foundations for the current team in Nottingham's continuing work.
In the future, we may see yet more advances in the power of MRI, even beyond 11.7T.
Who knows? For now, at least scientists in Nottingham are excited about what is coming next and the world of imaging possibilities about to open up.
Get in touch
Tell us which stories we should cover in Nottingham
Follow BBC Nottingham on Facebook, external, on X, external, or on Instagram, external. Send your story ideas to eastmidsnews@bbc.co.uk, external or via WhatsApp, external on 0808 100 2210.
Related topics
- Published24 September

- Published15 July

- Published30 April 2024
